Proud to offer special implant pricing for U.S. military veterans. Mention your service when you schedule.

Before & After Photos -Fullerton, CA

The Proof Is In Our Patients

Schedule Consultation
Dr. Joon Park and a smiling patient at J.P Prosthodontics in Fullerton, CA

Case Study

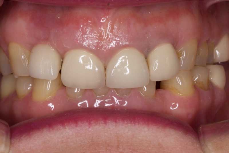
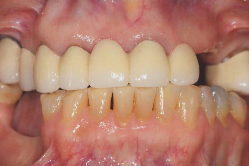
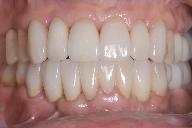
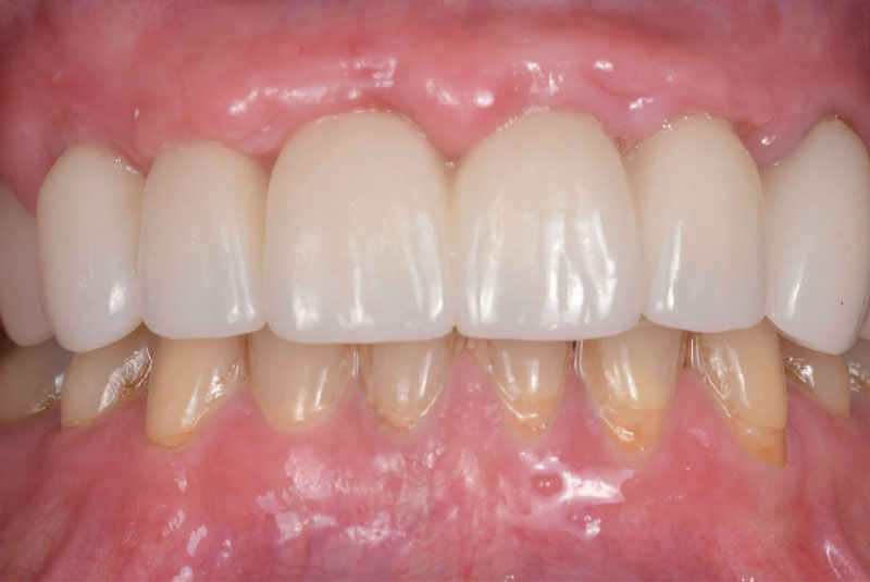
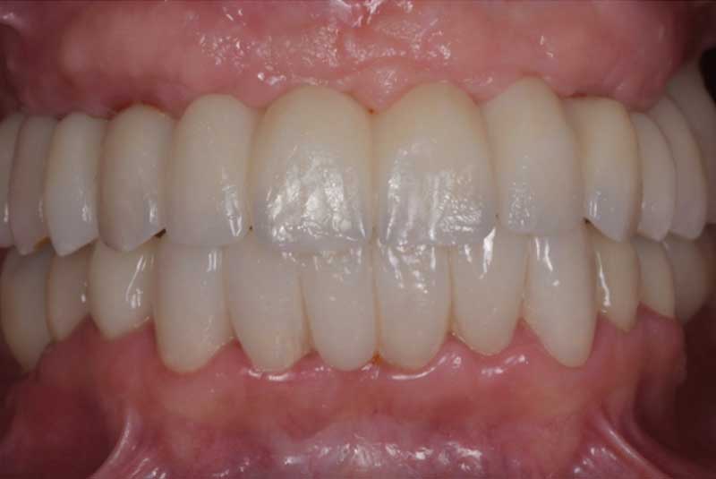
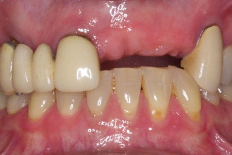
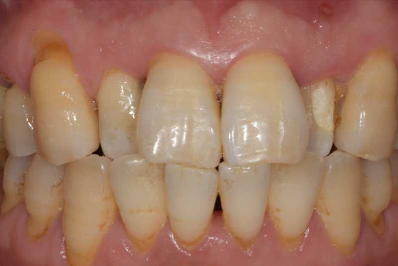
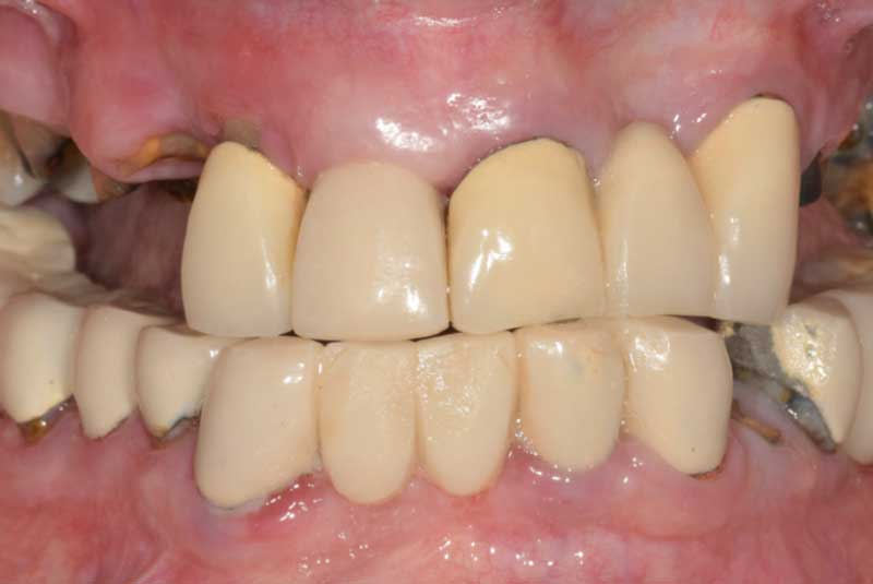
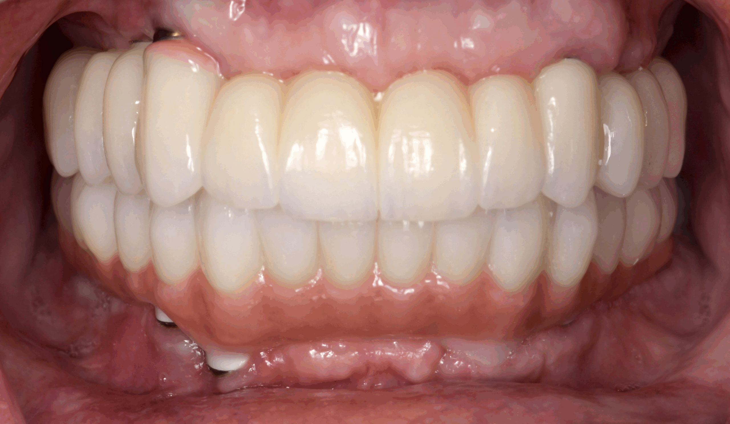
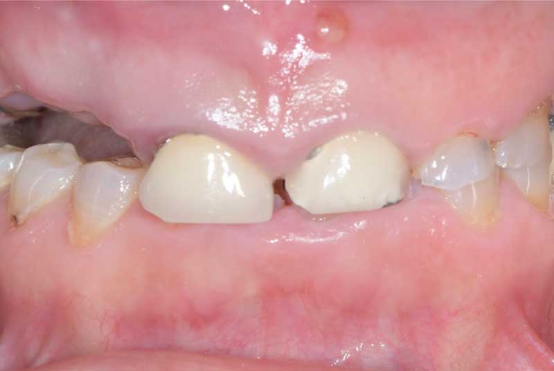
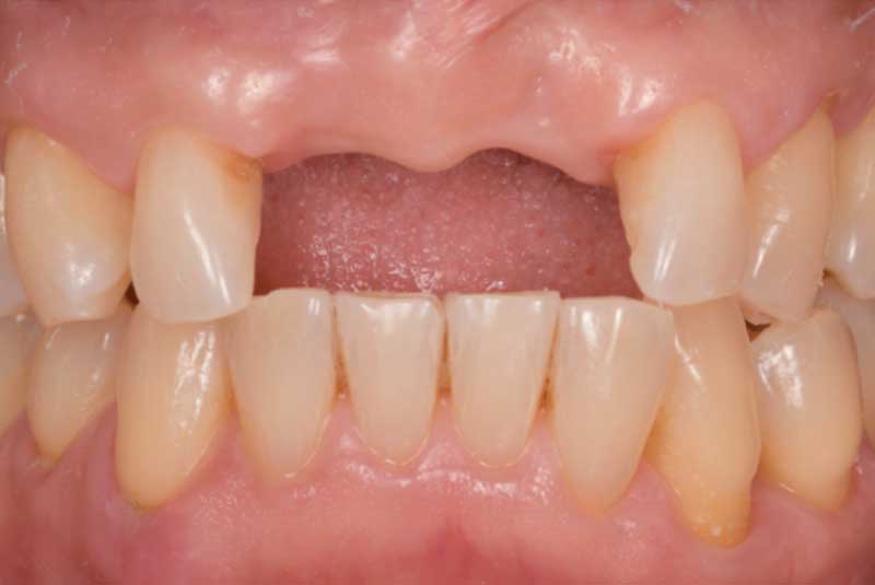
The patient had her implants placed 20 years ago. Four implants, particularly in the maxilla, were not positioned ideally for me to utilize and restore, while the four implants in the mandible were outdated and no longer functional. The patient's primary concern is to restore both function and aesthetics.

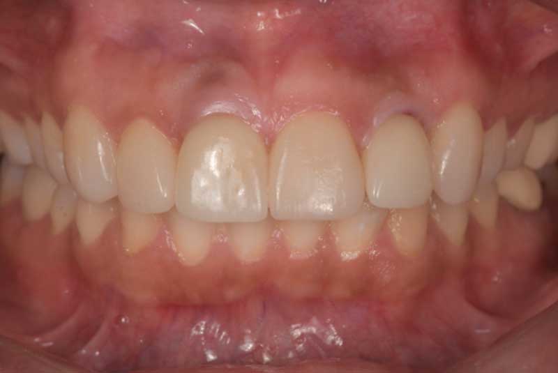
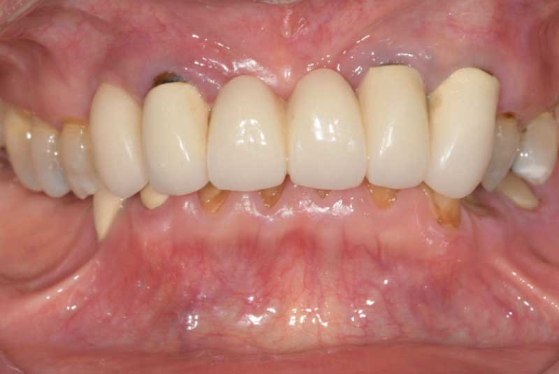
Before And After Photos

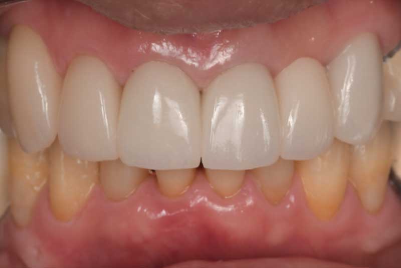
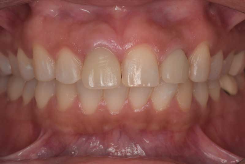
before-crowns-6789
after-crowns-6789
Before & After Crowns (#6,7,8,9,10,11,22,23,24,25,26,27), Overlay (#3,4,13,14,21,28,29), Implant & Implant Crowns (#5,12,19,20,30)
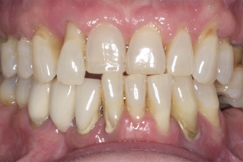
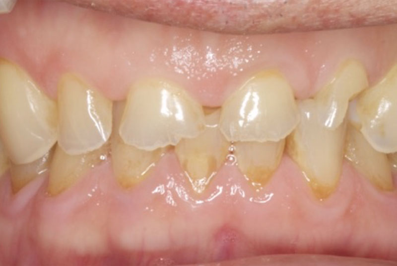
before-veneer-689
after-veneer-689
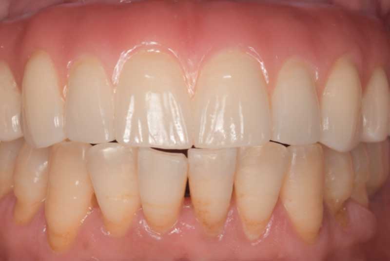
Before & After Veneers (#6,8,9,10,11,12) Crowns (23,24,25,26) Bridge (#27-28p-29), Overlay #21, Implant & Implant Crowns (#7,13,14,15,18,19,20,22), Composite (#3,4,5,12)
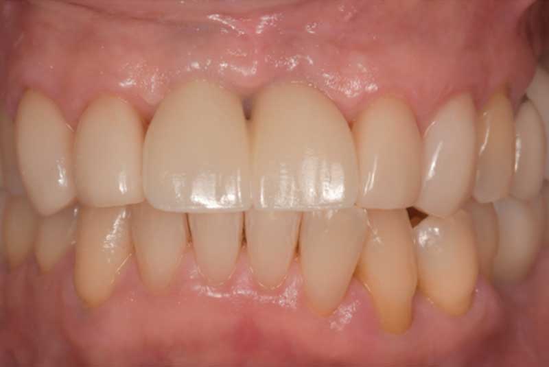
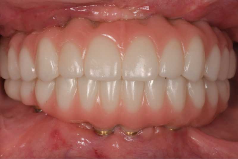
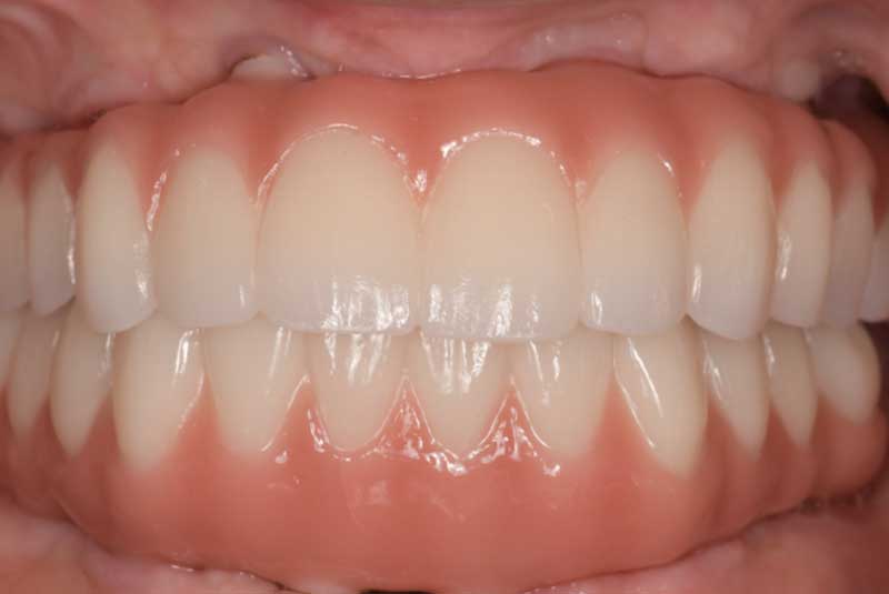
All on 6: Facial cut back (PFZ) Zirconia Full arch prosthesis for Maxilla and Mandible Before & After
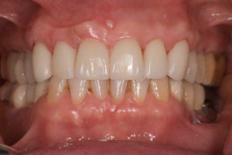
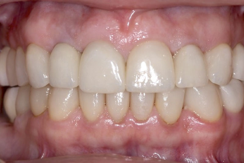
All on 6: Monolithic Zirconia Full arch prosthesis & Crown Lengthening, Veneers, Crowns, Onlays
after-implant-689
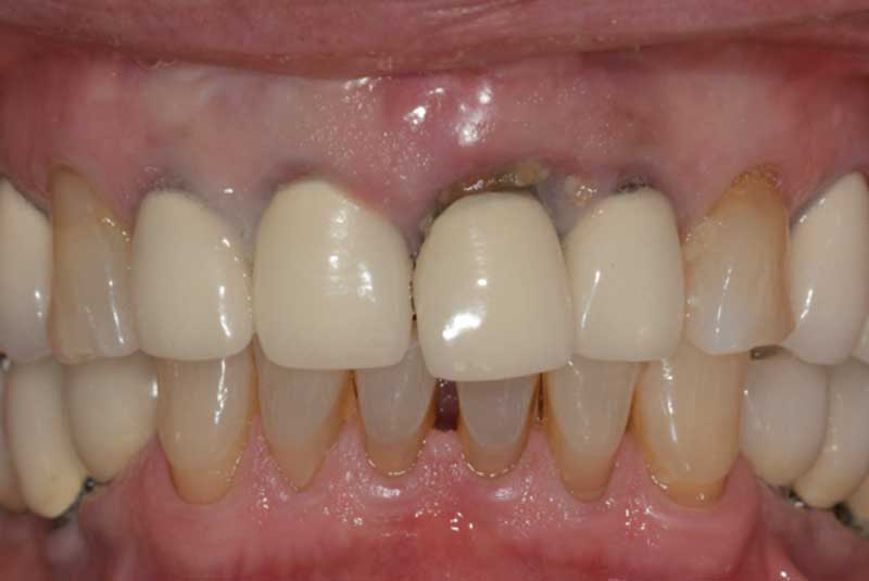
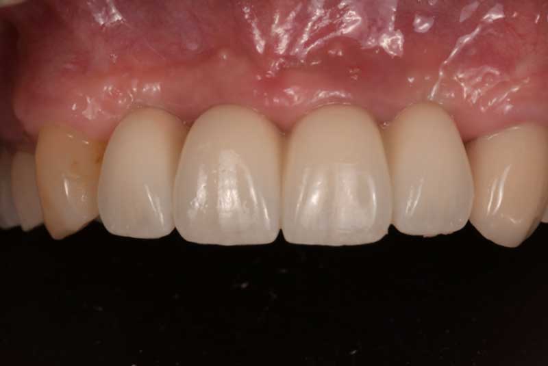
Implant crown #7&19, Crowns (#3,4,5,6,8,9,10,11,12, 13,20,21,22,23,24,25,26,27,28,29) Before & After
Implant crowns (#7-10) Before & After
Implant crowns Tor Anterior teeth ((-10) and veneers Before & After
PFZ Bridge (#9-11), Crown (#8) and Veneers (#6,7) Before & After
Type of procedureImplant crowns#8 &#10) and Veneers (#6,7,9,11) Before & After
Implant crown #18, Veneers (#6,7,8,9,10,11), Crowns (#2,3,4,5, 12, 13,14, 15, 19,20,21,31), Bridge (28-30) Before & After
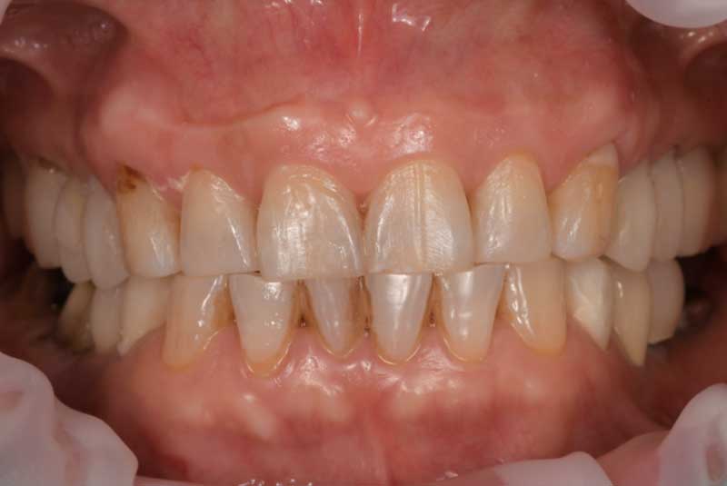
Porcelain Fused Zirconia implant crowns for Maxilla and Mandible, Veneers Before & After
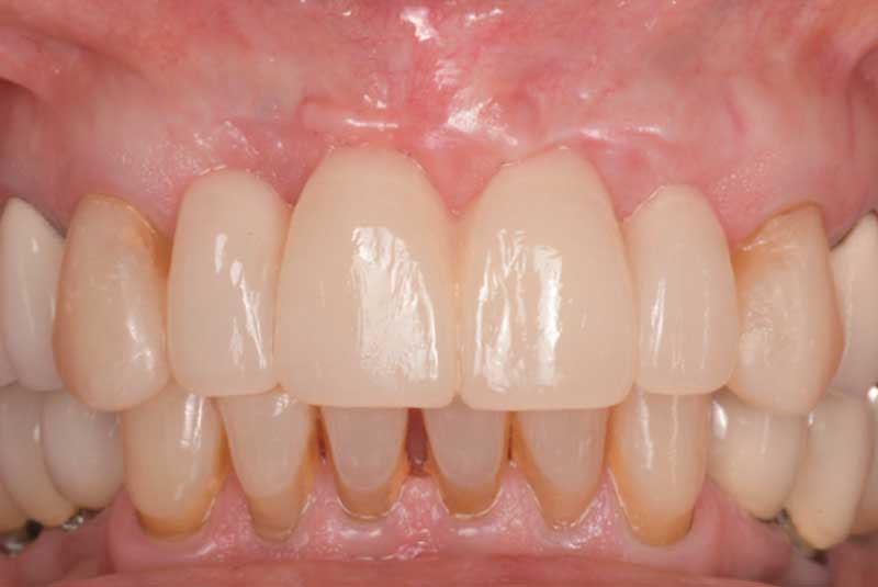
All on 6: Monolithic Zirconia Full arch prosthesis w/ implant crowns before & After
All on 6: Facial cut back (PFZ) Zirconia Full arch prosthesis for Maxilla and Mandible Before & After
All on 6: Facial cut back (PFZ) Zirconia Full arch prosthesis for Maxilla and Implant crowns for Mandible Before & After
Crowns-5E-max-before
Crowns-5E-max-after
Before & After Crowns (#5(E-max),11(PFZ),12(E-max)), Implants & Implant Crowns (#6i-7p-8i-9p-10i)
All on 6 for both arches Implants (#3,4,6,11,13,14,18,21,22,27,28,31)
All on 6 for both arches Implants (#3,4,6,11,13,14,18,21,22,27,28,31)
All on 6 for both arches Implants (#3,4,6,11,13,14,18,21,22,27,28,31)

Get On The Path To Better Dental Health!

Contact us today to learn more about our affordable dental options
Schedule Consultation